Explore Our Services

What We Offer

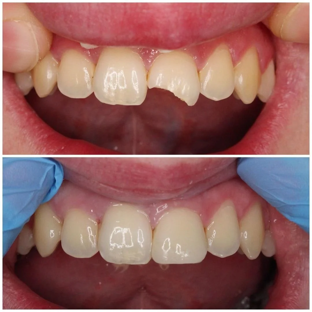
  • When dental emergencies strike, our team provides immediate, comprehensive procedures to address urgent dental problems and restore your comfort and oral health. From emergency root canals to trauma repair, we have the expertise and technology to handle a wide range of urgent dental situations. Our prompt response and skilled treatment approach focus on relieving your pain quickly while providing definitive solutions that prevent complications and support your long-term oral health.

  • Emergency tooth extractions become necessary when severe tooth damage, infection, or trauma creates unbearable pain that cannot wait for regular treatment scheduling. Our team provides immediate emergency extraction services to relieve your suffering and address urgent dental problems that threaten your oral health. Even in emergency situations, we maintain our conservative approach by exploring all possible alternatives before recommending extraction, ensuring this procedure is truly the best option for resolving your urgent dental crisis.

  • Root canal therapy provides an effective way to save severely damaged or infected teeth that would otherwise require extraction. Our team uses advanced techniques and technology to remove infected tissue from inside your tooth, eliminate pain, and restore your tooth’s health and function. This conservative treatment allows you to keep your natural tooth while addressing the underlying infection, maintaining your bite alignment and avoiding the need for more complex tooth replacement procedures.

  • Ready for a healthier smile?

    Your smile deserves modern, comprehensive care in a welcoming environment. At Dentique Smiles we combine advanced dental technology with a personalized approach to help you achieve optimal oral health and the confident smile you’ve been seeking. Whether you want preventive care, restorative treatments, or cosmetic enhancements, we’re here to guide you through every step of your dental journey. Schedule your consultation today and experience dental care that puts your comfort and long-term wellness first